Catheterize the central vein (subclavian or jugular) and measure central venous pressure (CVP).

Critical violations ECG and coronary readings EChOKG changes
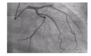
1 Acute coronary syndrome with
ST-segment elevation and coronary
syndrome without ST-segment elevation
rasm
2 Acute myocardial injury without vascular atherosclerosis
a) myocarditis
b)stress cardiomyopathy
3 Arrhythmias
4 Heart failure
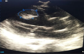
5 Pericardial effusion
6 Thromboembolic complications

The main task for bed echocardiography in a new coronavirus infection is to assess:
1. global and regional contractile function of the LV and right ventricle (RV) (qualitatively);
2. the size of the heart chambers (dilatation of the chambers);
3. the presence of fluid in the pericardial cavity and in the pleural cavities;
4. presence of mitral regurgitation (qualitatively);
5. the presence of additional formations in the cavities and structure of the heart (blood clots);
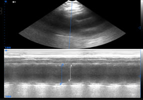
6. volemic status (diameter of the inferior vena cava);
7. Ultrasound profile of the lungs .
High-speed and temporary parameters of the high-amplitude reflected signals of the movement will help to reveal early dysfunction of a myocardium at that stage of its development when traditional EChOKG indicators don’t change yet. The high-speed indicators of the high-amplitude reflected movementsignals easily are registered by means of usual faltering wave doppler sonography in this connection the technique is available to broad diagnostic practice